
Italian researchers are adding a new indication for CT colonography after finding that it outperformed conventional colonoscopy for planning laparoscopic surgery in patients with colorectal cancer or complicated diverticular disease. They presented their results at the recent European Congress of Radiology (ECR).
Not only is CT colonography (CTC) more precise than optical colonoscopy for localizing malignant lesions, it provides a more comprehensive evaluation of complex diverticular disease, and with the addition of IV contrast, enables cancer staging as well.
"We know from the literature that the accepted indications [for CTC] are incomplete colonoscopy and contraindication for optical colonoscopy," said Dr. Roberto Rizzeti, from the department of diagnostic imaging and interventional radiology at Delta Hospital Lagosanto in Ferrara, Italy. "We wanted to evaluate the use of virtual colonoscopy as a preliminary study prior to surgery of the colon in malignancy and diverticular disease ... as a new indication."
Laparoscopic surgery of the colon is a relatively new technique that requires precise preprocedural localization of lesions and evaluation of local complications, he said. "But when we do CTC we are also doing a CT of the abdomen, so when we administer IV contrast we can also evaluate the extracolonic findings that can sometimes contraindicate a laparoscopic approach," such as abdominal tumors or abdominal aortic aneurysm. CTC in this setting can also provide the following:
- Localization of lesions and visualization of redundancy and dolichocolon
- Evaluation of the severity and extent of disease, lymphadenopathy, and inflammatory pericolonic fat stranding
- Visualization of local complications (cover perforation, abscess, and fistula with other hollow viscus)
- Visualization of metastases (liver, lung, etc.)
"For laparoscopic surgery, good patient selection and great preoperative planning are crucial," Rizzeti said. The study aimed to evaluate the accuracy of virtual colonoscopy in diagnosing and staging complicated diverticular disease in the planning of laparoscopic surgery.
![]() |
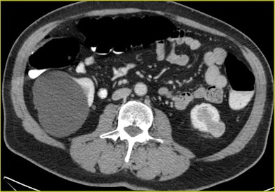
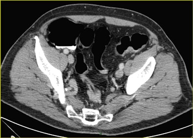
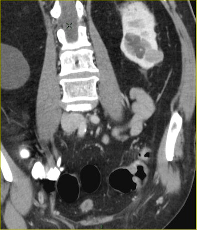
| A 70-year-old man underwent CTC after incomplete colonoscopy at the transverse colon showing a large stenotic lesion in the splenic flexure with bleeding and high-grade dysplasia. CT colonography revealed dolichocolon, a second stenotic lesion in the sigmoid colon, and a tumor in the left kidney, precluding a laparoscopic approach. All images courtesy of Dr. Riccardo Rizzeti. |
![]() |
![]() |
The group examined 162 patients scheduled for surgery for colorectal cancer or complicated diverticulitis (known or suspected) with CT colonography. Of these, 135 had undergone conventional colonoscopy prior to CTC, of which 26% (n = 27) were incomplete. Twenty-seven patients underwent CTC as a first exam.
Rizetti, along with Dr. Giorgio Benea and colleagues, compared lesion detection sensitivity and localization between optical and virtual colonoscopy, analyzing the discrepancies. They also determined the accuracy of CTC in staging colorectal cancer.
CTC identified a total of 113 colorectal tumors and 49 cases of complicated diverticulitis. Seven polypoid lesions 6 mm to 9 mm in diameter (4.3%) were detected by CTC but missed at endosocopy.
"We also had 17 cases of discrepancy for lesion location: six cases of discrepancy of distance from anal region and 11 cases from the intestinal segment," Rizzeti explained.
Based on the CTC evaluation, five cases of complicated diverticulitis were managed medically; 10 patients were referred for conventional open surgery, and 147 (103 colorectal cancers cases and 44 with complicated diverticulitis) continued on to laparoscopic surgery, he said.
CTC demonstrated 14 cases of diverticular disease with pericolonic adhesions at the following:
- Intestinal loops (n = 4)
- Spleen (n = 2)
- Vesicosigmoid fistula (n = 2)
- Uterus appendages (n = 6)
As for staging, CTC was 100%-86%-100% accurate in tumor-nodal-metastasis (TNM) staging, and in the diagnosis of complicated diverticular disease CTC showed 100% agreement regarding location and extent of lesions, and 90% sensitivity for complications. CTC was 83% specific for reactive lymph nodes.
CTC detected 34 extracolonic findings, including 12 of major clinical relevance, according to the researchers.
"For laparoscopic surgery, it's very important to evaluate the extracolonic findings that contraindicate completely the laparoscopic approach," Rizetti said. For cases of colorectal cancer, the facility always uses full contrast dose to optimize staging, he added.
Compared to conventional colonoscopy, CTC is more precise in detecting the lesion site, rendering the laparoscopic surgery approach safer and more accurate.
"CTC has the same accuracy in colon rectal cancer detection as conventional colonoscopy and, at the same time, allows us to stage the patient with the administration of intravenous contrast," he said. Compared to conventional colonoscopy, CTC also permits a greater level of precision in evaluating diverticulitis prior to laparoscopy. Finally, it's very useful for follow-up of the patients with diverticulitis -- Hinchey stages I through III.
If possible perforation during conventional colonoscopy is a concern, the physicians can wait two weeks before proceeding with CTC to minimize risk, Rizzeti said in response to a question from session moderator Dr. Stuart Taylor from University College London.


















