
21 octobre 2019 -- Avec une utilisation accrue de l'imagerie en coupe haute résolution, beaucoup plus de masses rénales sont détectées dans la pratique courante. Mais comment les médecins peuvent-ils déterminer la meilleure approche thérapeutique pour améliorer les résultats pour les patients?
La caractérisation précise et précoce de ces pathologies par l'IRM multiparamétrique (IRM-mp) pourrait bientôt devenir essentielle dans la gestion des patients. Les nouveaux protocoles gagnent maintenant du terrain mais la validation clinique à grande échelle est en cours.
Prenant la parole lors de la Séance pédagogique 'Tumeurs rénales pour les nuls' au récent congrès national français (JFR) à Paris, le Pr Nicolas Grenier du Centre Hospitalier Universitaire de Bordeaux a expliqué comment un protocole récemment établi et utilisé dans une étude multisite en France fournira aux spécialistes des informations décisives et opportunes.
Dr Nicolas Grenier de Bordeaux."L'IRM-mp a le potentiel de caractériser ces tumeurs rénales solides dites «indéterminées» sur la tomodensitométrie - des tumeurs sans graisse macroscopique ou caractéristiques malignes évidentes. Les carcinomes papillaires (CP) et les angiomyolipomes pauvres en graisse ('fat poor', fpAML) seront probablement les plus faciles à reconnaître, mais nous avons besoin de plus d'expérience pour le confirmer et pour identifier les autres sous-types", a déclaré le Pr Grenier lors du congrès.
"Cela pourrait avoir un impact sur la gestion des patients à l'avenir, en termes de décision de prise en charge chirurgicale ou percutanée ou de surveillance active, sans biopsie. L'impact sur la pratique sera plus important pour les urologues que pour les oncologues qui ont affaire à des tumeurs malignes plus avancées."
À la suite de deux études monocentriques prometteuses, l'étude bordelaise IRMK01, qui porte sur la capacité de l'IRM-mp pour la différenciation tumorale, a débuté au cours du dernier trimestre de 2018 et durera deux ans. Il fait partie du Projet Hospitalier de Recherche Clinique du Ministère de la Santé français, qui finance un certain nombre d'essais cliniques nationaux.
L'essai comprendra 500 patients répartis dans 16 centres. Son objectif est d'évaluer l'exactitude de l'IRM-mp en analysant un protocole spécifique sur une échelle de Lickert à cinq points pour classifier les tumeurs indéterminées au scanner comme étant bénignes ou malignes. Dans un deuxième temps, l'étude évaluera l'effet de l'IRM-mp sur les décisions de gestion du traitement.
Différentes séquences disponibles sur l'IRM ont permis une multiplication importante des critères utilisés pour définir les caractéristiques propres à différents types de tumeurs, ce qui peut être particulièrement utile pour les petites tumeurs solides d'une taille inférieure à 4 cm et indéterminées en tomodensitométrie, a noté le Pr Grenier, professeur de radiologie et responsable de la radiologie urogénitale et vasculaire à l'Hôpital Pellegrin de Bordeaux.
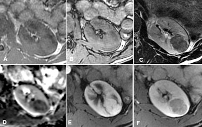
Aspect typique d'un angiomyolipome pauvre en graisse: isointense ou très discrètement hyperintense en T1 (A), sans ou avec chute de signal en opposition de phase (B), hypointense en T2 (C), avec une franche restriction de diffusion sur la cartographie ADC (D), hyperartérialisée et avec un lavage rapide (F). Image reproduite avec l'aimable autorisation du Dr Nicolas Grenier et de la Société française de radiologie (SFR) - reproduite avec l'autorisation de SFR à partir l'e-Quotidien des JFR.Le nouveau protocole IRM-mp utilisé à Bordeaux pour la différenciation tumorale est en cours de validation pour la précision du diagnostic. Les séquences utiles à cette caractérisation de tumeurs sont les suivantes:
- La séquence pondérée en T2 : elle doit absolument être réalisée en turbo ou fast spin-écho et jamais en T2 rapide en écho de gradient. Elle permet d'évaluer l'intensité de signal de la tumeur par rapport au rein : seuls les fpAML et les CP ont un signal très inférieur à celui du rein.
- La séquence pondérée en T1 en écho de gradient avec étude du déplacement chimique (Dixon) : une chute de signal peut s'observer en opposition de phase en cas de fpAML, de carcinome à cellules claires (CCC) ou de CP, et en phase en cas de CP.
- La séquence de diffusion : seuls les fpAML et les CP ont un signal très inférieur à celui du rein.
- La séquence dynamique après injection de produit de contraste permettant de « tracer » une dynamique de rehaussement : seuls les CP présentent un rehaussement très faible et très progressif.
En croisant ces différents critères les radiologistes peuvent aboutir à des diagnostics différents, plus spécifiques, a noté le Pr Grenier.
Les tumeurs bénignes du rein les plus fréquemment observées sont les angiomyolipomes pauvres en graisse - sans tissu adipeux visible au scanner sans injection - et les oncocytomes. Les tumeurs malignes les plus fréquentes sont les carcinomes à cellules claires, les carcinomes papillaires de type 1 et les carcinomes chromophobes.
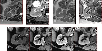
Aspect typique d'un carcinome à cellules claires montrant, comparé au parenchyme rénal normal, une intensité de signal élevée en T2 (A), un coefficient de diffusion apparent élevé (ADC) (B), une chute de signal sur l'image en opposition de phase (D), par rapport à l'image en phase (C) et une vascularisation élevée sur l'image dynamique rehaussée (E). Image reproduite avec l'aimable autorisation de Pr Nicolas Grenier.Les chercheurs espèrent en particulier utiliser les données de la vaste étude prospective pour évaluer pour évaluer les capacités de l'IRM-mp à différencier les tumeurs rénales de petite taille, solides et malignes des tumeurs bénignes, ainsi que pour vérifier la reproductibilité et les effets sur les décisions cliniques et la gestion tumorale, ainsi que pour définir les critères permettant la classification des lésions.
Pendant longtemps, la caractérisation des tumeurs du rein par tomodensitométrie reposait sur la classification des masses kystiques selon la méthode de classification de Bosniak, en identifiant les éléments gras macroscopiques permettant le diagnostic de l'angiomyolipome, tandis que le diagnostic du carcinome reposait sur des tumeurs d'aspect nécrotique ou présentant des signes d'extension locale, selon le Pr Grenier.
Aujourd'hui, toutefois, les découvertes accidentelles de petites masses solides au cours de l'imagerie constituent le principal mode de diagnostic du cancer du rein. Parmi ces masses, la proportion de tumeurs bénignes est d'autant plus importante qu'elles sont de petite taille, a-t-il déclaré.
"Progressivement, l'IRM a gagné du terrain pour la classification de Bosniak dans les cas difficiles. Cependant, sa place dans la différenciation des tumeurs solides ne fait que commencer à apparaître", a déclaré le Pr Grenier.















