
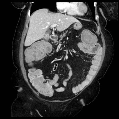
16 enero 2017 -- Historia: Una mujer de 70 años con obstipación y diarrea intermitentes durante una semana. La paciente experimenta dolor a la presión y palpación del cuadrante superior derecho.
A continuación se muestran las imágenes por TC coronales y axiales a través del abdomen superior e inferior.













