Musculoskeletal (MSK) imaging continues to evolve due to innovations in information and communication technology, digital advances, and changes in the current spectrum of MSK conditions. The hip and the bony pelvis are among the most common anatomical sites imaged by orthopedic surgeons, rheumatologists, and other MSK clinicians. Consequently, a new book called The Second Edition of Imaging of the Hip & Bony Pelvis: Techniques and Applications offers an in-depth exploration of modern imaging techniques in the hip and pelvic area. This knowledge is essential for diagnosing and treating MSK conditions in this region.
The goal of the editors -- Drs. Mark Davies, Rajesh Botchu, and Karthikeyan P. Iyengar -- was to compile practical and timely contributions spanning 523 pages and featuring articles from 72 experts.
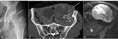
Clear cell chondrosarcoma can be seen in the left femoral head (arrow in a), and chondrosarcoma is visible in the left ilium (arrow in b and c). All figures courtesy of Dr. Rajesh Botchu.
The text is organized into two main parts: imaging techniques and procedures, and clinical problems. The first part provides a structured guide to the functions of a wide range of imaging modalities, from radiography, CT, and MRI to ultrasound and nuclear medicine.
The clinical sections address imaging approaches and applications for key conditions, such as congenital and developmental abnormalities, bone trauma, degenerative diseases, arthritis, osteonecrosis, tumors, and postoperative complications. The section emphasizes the crucial role of image-guided interventions in clinical care, highlighting the necessity of a collaborative, multidisciplinary approach.
One of the book's key features is its focus on interdisciplinary collaboration, bringing together insights from leaders in research and clinical practice. The illustrated guide aims to reflect current advancements while anticipating future trends in MSK imaging from across the globe.
As MSK imaging continues to develop, clinicians face increasingly complex diagnostic challenges. This new edition is designed to equip healthcare professionals with advanced imaging techniques and critical clinical knowledge for common clinical conditions and intriguing pathologies such as femoroacetabular impingement (FAI).
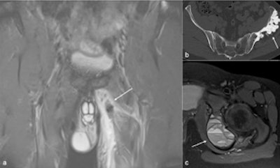
Figure shows left adductor tear (arrow in a), melorheostosis of left ilium (arrow in b), aneurysmal bone cyst in the left ischium (arrow in c).
Other topics covered include evaluation of a plethora of common and uncommon pathologies such as imaging of groin pain, particularly athletic pubalgia, FAI (young adult hip and postoperative), and greater trochanter pain syndrome.
In anticipation of future trends in MSK imaging, the book also addresses the latest advances in MRI imaging of the hip and pelvis, with a special chapter focusing on imaging of tumor and tumor-like lesions (mimics) of the hip to assist analysis. Another chapter on postoperative imaging of hip arthroplasty emphasizes the role of medical imaging in evaluating total hip arthroplasty-associated challenges. These should be useful and easy to follow for any medical professional and allied health professionals.
Other clinical problems covered in the book are bone and soft tissue infection, piriformis/deep gluteal syndrome, stress fractures, metabolic and endocrine disorders, and imaging of hip prostheses.
The editors hope this new volume will serve as a useful resource for a diverse audience, including students, clinicians, radiologists, researchers, and academics, and provide a valuable asset for clinicians navigating the complexities of modern MSK imaging. Their ultimate objective is to enhance the readers' practice and improve patient care. Plenty of illustrative figures should help to boost understanding and accessibility.
The book is published by Springer and is available here. The ISSN number is 978-3-031-76545-2.
Dr. Rajesh Botchu is consultant MSK radiologist at Royal Orthopedic Hospital, Birmingham, U.K. He is honorary visiting professor, NRIIMS Vizag, India; honorary international professor, Apollo Hospitals Educational and Research Foundation (AHERF); and Royal College of Radiologists/British Society of Skeletal Radiologists Travelling Professor 2025. He has published 375 papers to date, including over 112 articles in peer-reviewed journals in 2024 alone (80 in Pubmed).
The comments and observations expressed herein do not necessarily reflect the opinions of AuntMinnieEurope.com, nor should they be construed as an endorsement or admonishment of any particular vendor, analyst, industry consultant, or consulting group.

















