
An increasing number of patients are presenting with heatstroke. MRI is playing a central role in the evaluation of these cases, given the frequent involvement of the central nervous system, a group from Barcelona has reported in new research.
"Heatstroke is defined as a high body temperature that causes multiorgan failure, with frequent involvement of the central nervous system (CNS), reaching mortality rates close to 20%," noted Dr. Camilo Pineda Ibarra, a staff radiologist in the neuroradiology section at Hospital Clínic de Barcelona and colleagues. They add that the rising number of heatwaves during the summer and the ageing population make its appearance more frequent in emergency departments.
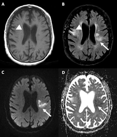
A 77-year-old male patient was found unconscious in a state of dehydration and hyperthermia. MRI shows old right frontal cortico-subcortical infarction (arrowhead) on T1-weighted (A) and T2-weighted imaging (B), with new acute posterior left frontal subcortical infarct (arrow) confirmed on diffusion-weighted imaging (C) and apparent diffusion coefficient map (D) sequences. Images courtesy of Dr. Camilo Pineda Ibarra et al. and presented at ECR 2023.The authors decided to analyze the MRI characteristics of CNS involvement in heatstroke. They studied the brain MRI scans of patients diagnosed with heatstroke at Hospital Clínic de Barcelona between April 2010 and September 2022. They presented their findings in a poster at ECR 2023.
A total of 98 patients were included in the study. Of these, 43 had brain MRI scans, but only eight had pathologic findings.
There were three cases of ischemic lesions, two in supratentorial subcortical white matter, and one in the form of a cerebellar nodular lesion. Three patients had posterior reversible encephalopathy syndrome (PRES)-like cerebellar involvement and altered signal at basal ganglia with variable cortical-subcortical involvement, two of them associated foci of cerebellar bleeding. One patient showed just involvement of basal ganglia without other associated finding.
Another patient had chronic cerebellar changes manifested as atrophy and hemosiderin deposits, changes that corresponded to a previous acute alteration evident on CT at infratentorial level.
Analysis of heatstroke
Depending on the underlying cause, there are essentially two types of heatstroke, the researchers continued.
First, classic or passive heatstroke typically involves exposure to environmental heat in patients with compromised regulation mechanisms, and it affects elderly patients, children, or those with chronic pathologies. There is a high mortality of around 50% in the elderly.
The second type involves physical effort and may be related to extreme activity in athletes. It can be triggered by a high ambient temperature, often in previously healthy patients. In addition to physical activity, alcohol and drug abuse consumed at music festivals, parties, etc, can predispose. This type entails a lower mortality among patients (< 5%).
A 34-year-old man with a psychiatric history was found unconscious with heatstroke. FLAIR MRI sequence at the infratentorial level (A) with slight symmetrical cerebellar edematous changes collapsing the cerebellar leaflets (star), and supratentorial slices at the level of the lateral ventricles (B), corona radiata (C), and semioval centers (D), showing edematous changes of both caudate nuclei with collapse of both frontal horns (arrowhead) and slight increase in the signal of the biparietal periventricular white matter (arrows).There are several pathogenic mechanisms, according to the authors:
- Relative hypovolemia due to sweating and redistribution of circulating volume to the skin
- Release of proinflammatory cytokines with the possible development of systemic inflammatory response syndrome
- Direct injury to Purkinje cells from increased temperature
- Loss of the integrity of the gastrointestinal barrier with consequent bacterial/endotoxin translocation.
"These mechanisms are directly linked to imaging findings, either by cerebral hypoxia due to hypovolemia, presence of inflammatory cytokines/endotoxins that can lead to disseminated intravascular coagulation (DIC), or direct cerebellar neuronal damage," they stated.
Those findings can be categorized into two large groups of lesions:
- PRES-like lesions (vasogenic edema): cerebellar predilection, frequent supratentorial involvement of basal ganglia, and variable cortico-subcortical compromise
- Ischemic lesions (cytotoxic edema): predominantly supratentorial at subcortical level.
These two types of presentation are not mutually exclusive, and therefore patients with PRES-like findings on MRI may also have associated ischemic lesions, they added.
"We are now writing a paper about this topic, and our next step is understanding all the different supratentorial findings in these patients," Pineda Ibarra told AuntMinnieEurope.com.
To view the whole ECR 2023 poster and see more cases, go to the EPOS section of the congress organizers' website.
The co-authors of the ECR e-poster were Rafael Jiménez Arjona, Sofía González Ortiz, Santiago Medrano, Sebastian Capurro, Yensa Rodriguez Alvarez, M. Lourdes Olondo, Laura Oleaga, and Núria Bargalló Alabart.




















