
Women's football has been growing in popularity across the globe over the past decade. Greater television exposure of the sport is playing its part in encouraging and growing a dedicated supporter base. This will escalate further with the Women's Euros 2022 tournament, to be held in England from 6 to 31 July.
At Manchester United, the Women's Professional Football team was introduced in 2018, winning the Football Association (FA) Women's Championship in the inaugural season. It now competes in the Women's Super League, a top tier of women's football. But behind the scenes, there is also a commitment to expand female sports exercise knowledge and to gain greater awareness about gender nuances to support the rise of our female players.
Gender differences in footballers
One of the key known areas of difference between the male and female footballer is the nature of injury. For example, two to 10 times more women than men are likely to experience an anterior cruciate ligament (ACL) injury, which has been studied in detail over recent years.
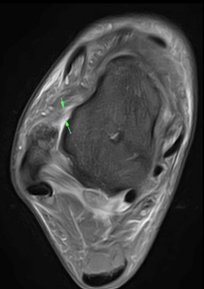
Axial fat-suppressed proton density 3-tesla MRI of the right ankle demonstrates a grade 1/2 tear of the anterior talofibular ligament (ATFL).ACL injuries happen suddenly and without warning and can mean being out of the game for between nine and 12 months. These injuries are common in football due to the frequent and instant deceleration on the pitch from cutting, pivoting, or landing on one leg.
By using a Canon Medical Vantage Galan 3-tesla MRI scanner, we can see the extent of commonly occurring or unique injury onsite within the dedicated Medical Imaging Centre at the Manchester United Carrington Training Centre without any of the confidentiality issues of transferring a patient to a local hospital.
The figure below, for example, shows a T2-weighted image of the coronal view of the right knee. The female athlete has an acute pivot-shift injury with an acute lateral condylar bone contusion, which is highly indicative of an associated ACL tear.
Coronal fat-saturated proton density 3-tesla MRI of the right knee shows an acute pivot shift injury with an acute lateral condylar bone contusion. This is highly indicative of an associated anterior cruciate ligament (ACL) tear.The known predisposition in female footballers has no singular cause, but it is thought to be a mixture of anatomical differences, including the intercondylar notch, a groove at the bottom of the femur where it meets the knee, which is larger in men than in women; increased knee valgus, the Q angle formed between the quadricep muscles and the patella tendon; hip-width differences affecting knee alignment; gender biomechanics, such as joint flexibility, hormones, and menstrual cycles; plus potentially gender differences in early football training.
ACL injuries do not heal unless they result from a partial tear, and fully torn ACLs need intervention of some kind. To safeguard players' ongoing ligament health, and to avoid further time off the pitch, we would increase the frequency of ultrasound or MRI examinations on these women. Furthermore, the amount of known research in this area means that we can be preventative at the outset with all our female players.
Dedicated research in female sport
An ACL injury is a key example of how concentrated research and knowledge development over the years has enabled a greater understanding of how to avoid and monitor such injuries. As a result, we now look to strengthen all female players' muscles that support the knee, such as quadriceps and hamstrings, plus undertake landing control as part of our preventative strategies. This has helped in bringing down the number of ACL injuries by looking at recent Women's Super League injury data.
Another area of injury prevention and monitoring is concussion. Again, a lot has been written about the long-term effects of head injuries through head contact in football in male players, particularly its links with memory loss and Alzheimer's disease. Practical exploratory work into diagnosing and monitoring for chronic traumatic encephalopathy using diagnostic imaging in our female players is a real focus.
Indeed, recent studies suggest that female athletes not only are more susceptible to concussion than males but also sustain more severe concussions. There is, therefore, a need for more research in this area, and we are doing this within our imaging suite using artificial assistance-assisted CT and MRI technologies.
A greater understanding through focused research can play a part in establishing concussion treatment protocols for clubs and the Football Association, which would be of immense benefit to all.
These injury examples highlight the importance of ongoing collaboration, discussion, and sharing of research in sports medicine. It will help create further understanding of how the female body -- which has been studied less than male football counterparts -- has injury weakness areas that need to be monitored.
It is very important to build up a bank of "normative" historical data of our female players, having only had a professional female team for four years. Our data on male players is superb, which has been down to the day-to-day medical team and the links we have to industry, healthcare, and academia. But now, as we progress with a women's team, we need to gain appropriate baselines in our female players to compare and establish where we are now to help us develop in the future. This is gaining momentum.
Even in recent times, despite the COVID-19 pandemic, we were able to keep going with our annual cardiovascular profiling and monitoring of players using ultrasound echocardiograms. It means we now have four years' worth of valuable data and, if needed, can correlate any future cardiac concerns, themes, or safeguarding with COVID-19 infection data of players.
On the ball with proactive health
It's early days for professional women's football, but we've come a long way already. It is exciting how much interest there is from supporter communities, inspiring young girls, through to the growth of professional female clubs. We owe it to the future of female football to stride ahead in exploring health equality.
Yet there is so much more we can still do, from exploring deeper menstrual monitoring to minimize symptoms and maximize energy availability, to the use of bone-density imaging and expanding involvement in AI-based health projects.
Whatever the outcome of the 2022 Euros, female footballers can be assured that we're on the ball with proactive sporting health.
Dr. Eddie Craghill is women's team support doctor at Manchester United Football Club, U.K., He is also a GP partner at Coppull Medical Practice in Chorley. He completed a Master of Science degree in sport and exercise medicine at the University of Bath in 2019. He studied at the Università di Pavia, Italy, in 2009, as part of the Erasmus Student Exchange Programme.
The comments and observations expressed herein do not necessarily reflect the opinions of AuntMinnieEurope.com, nor should they be construed as an endorsement or admonishment of any particular vendor, analyst, industry consultant, or consulting group.



















