
CT should be systematically performed to ensure safe hospital discharge of cocaine body packers, given the failure of abdominal x-ray (AXR) to detect gastrointestinal cocaine packets, new research from France has concluded.
Scientists from Hôtel-Dieu University Hospital in Paris found that 10% of body packers had residual packets, despite two packet-free stools, and 70% of these residual packets were missed on AXR. No patient or packet characteristics predicted residual packets or AXR false negativity, noted lead author and radiologist Dr. Pascal Rousset in the August edition of European Radiology (August 2013, Vol. 23:8, pp. 2146-2155).
"These results have important implications for the management of cocaine body-packer syndrome," he wrote. "We believe that the poor sensitivity of AXR for residual drug packets warrants the routine use of CT for predischarge evaluation of body packers given the potentially life-threatening consequences of residual retention."
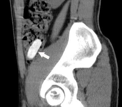
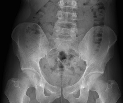
Residual cocaine-filled packet found in the cecum of a 33-year-old body packer. Abominal x-ray of the lower abdomen (above) shows no clear abnormality, whereas sagittal CT reformatted image (below) clearly depicts a dense packet (arrow), located in the cecum. Note that even in retrospect, the packet is still not visible on AXR. All images courtesy of Dr. Pascal Rousset.
The authors define a body packer as an illegal drug carrier who swallows a large number of specially prepared packets in order to pass through customs undetected. By ingesting up to 200 packets, each containing around 8 g to 10 g of drug, body packers expose themselves to intestinal obstruction and packet leakage, or rupture and subsequent poisoning. With cocaine, the most frequently body-packed drug, the risk of sudden death in case of packet rupture is high because there is no effective antagonist to manage the ensuing cardiovascular failure.
Ensuring that all ingested packets are expelled before body packers enter prison is crucial, they explained. A single residual packet may have life-threatening consequences due to late rupture or serve as a source of drugs inside prison.
Their prospective study was conducted at the French National Forensic Department at Hôtel-Dieu University Hospital throughout 2011. Unenhanced CT was performed, in addition to AXR, for predischarge evaluation of cocaine body packers. AXR and CT were interpreted independently by two radiologists blinded to clinical outcome. Patient and packet characteristics were compared between the groups with residual portage and complete decontamination.

Photos of a handmade packet (left) and two packets (right) consisting of a condom filled with cocaine in solution.Among 138 body packers studied, 14 (10%) had one residual packet identified on predischarge CT. On AXR, at least one reader failed to detect the residual packet in 10 (70%) of these 14 body packers. The sensitivity and specificity of AXR were 28.6% and 100%, respectively, for reader 1 and 35.7% and 97.6%, respectively, for reader 2. There were no significant patient or packet characteristics predictive of residual portage or AXR false negativity. All positive CT results were confirmed by delayed expulsion or surgical findings, while negative results were confirmed by further surveillance.
"The main drawback of CT is its higher radiation dose, with potential harmful effects, although the dose delivered to the abdomen and pelvis in our study was below the French DRL value, itself in the low range of European DRL values," Rousset and colleagues stated. "In addition, the theoretical cancer risk related to a single CT examination, which is probably very low, must be weighed against the gain in diagnostic security. We used a standard-dose rather than a low-dose CT protocol because CT was used as the reference standard against which we judged AXR."
The study has several limitations, they admitted. First, there were few patients with residual packets, making it difficult to show statistically significant differences versus other patients or between residual packets that were missed or detected by AXR. The main factor responsible for AXR false negativity appears to be the lack of trapped air in mechanically prepared cocaine packets. When CT showed complete decontamination, the patient was sent to prison, where he or she was carefully monitored; however, stool analysis was not continued, and it is possible some CT examinations were falsely negative, even though no cases of packet expulsion in prison were reported.
Moreover, 124 patients who had no residual packets had no individual medical benefit from having abdominal CT and subsequent additional radiation dose, but there was a major individual benefit in the 14 patients who had a residual packet detected by CT in view of the life-threatening risk of packet leakage, according to the authors. Low-dose CT could be a good compromise, if also proven accurate in detecting a single residual packet, whatever its characteristics, because this is mandatory to ensure a safe hospital discharge, they added.
For further reading on this topic, Rousset recommended the following recent article: "Detection of body packing by magnetic resonance imaging: A new diagnostic tool?" (Abdominal Imaging, June 2013, Vol. 38:3, pp. 436-441).
The authors are now working on detection of body stuffers of crack cocaine, but this work is still confidential, he noted in an email to AuntMinnieEurope.com.

















