
Morbidly obese children and adolescents show major abnormalities in their knee cartilage, but whether obesity alone is the causal factor of these changes remains to be determined, according to a prospective study published online first in European Radiology.
At least 3 million children are obese in the European Union, and the number will increase by more than 85,000 each year, specialists stated in the European Journal of Public Health (December 2005, Vol. 15:6, pp. 576-579). Excess body weight is the sixth most significant risk factor contributing to the overall burden of disease worldwide, whereas obesity represents one of the most important public health issues. Many health problems are linked to obese adults, such as joint problems -- namely arthritic or degenerative changes -- especially of the knee and hip region, but there are very few reports with regard to alterations in cartilage for obese adolescents owing to a lack of MR systems that allow for imaging those patients.
Harald Widhalm, from the department of traumatology at the Center for Joints and Cartilage at the Medical University of Vienna, and colleagues hypothesized that in young, morbidly obese patients who reported painful knee problems, morphological and structural changes in the cartilage might be the cause of the complaints (Eur Radiol, 24 September 2011).
The researchers used a 1-tesla open MR system to exam 24 knees of 20 morbidly obese patients, with a mean age of 14.2 years, and found that a cartilage lesion could be detected in at least one region of the knee in all the pateints. They also identified retropatellar cartilage lesions in 19 knees. In the lateral compartment of the knee, 10 grade I cartilage lesions and four grade II cartilage lesions were described whereas the medial compartment showed eight grade I cases, 13 grade II cases, and two grade III cases. Meniscal changes also were assessed in most patients.
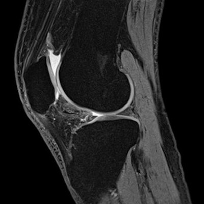
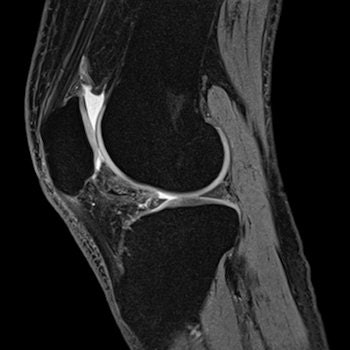
![]() |
| Knee MR image shows a tear in the meniscus. It was performed on a 1.5-tesla Magnetom Essenza system. Image courtesy of Siemens Healthcare. |
"The present study demonstrates for the first time that in morbidly obese children and adolescents, who suffer from pains in their knees, marked morphological changes of the cartilages from different grades and in different compartments could be detected," the authors wrote.
The defects are similar to those found in victims of various accidents or "immediate sequelae of traumatic influences, which can be found in older people due to mechanical injuries or as an inflammatory response to their joints," they noted. So far these changes had not been found in young patients without any traumatic history or severe disease that could cause the knee cartilage damage.
Because damage to adolescent obese patients has been identified for the first time, an important question has to be asked: Are these abnormalities only due to mechanical overload, or are other possible metabolic factors also responsible for these changes? "Due to the fact that the observed cartilage changes are described in detail for the first time, we are presently not able to provide detailed pathophysiological mechanisms, which could explain the underlying cause of the marked alterations," Widhalm stated.
Something to note is one of the cornerstones for the treatment of severe obesity is physical activity, but these results make it clear physical activity without any professional diagnosis and observation is contraindicated and could be associated with further damage to the knees due to uncontrolled movements of the joints, he added.
The limitations of the study include the fact that a control group was not used, a lack of a gold standard (none of the patients underwent arthroscopy or any other surgical treatment of their knees), and no longitudinal observation of the lesions is available so far and the present study represents a cross-sectional evaluation of young morbidly obese individuals with clinical symptoms. Also, there was limited MR image quality because of the oversized knee joints and the open MR system used, and the diagnosis of cartilage alterations together with early osteoarthritic changes could already be well-established.
It is unknown when these morphological changes in children's joints start to emerge and which joints are predominantly affected. Furthermore, it is not quite clear whether the described changes only occur at a definite body weight, in the presence of a certain metabolism derangement, or at certain changes in the anatomy, in terms of alterations in the axis of the leg.
"As no control group was included in this study, it would be of interest to study whether these morphological changes, which were shown on the MRI, can also be observed in young subjects with overweight or obesity," the researchers wrote. However, because it has been clearly shown in prior studies there are no knee lesions in children of normal weight, it is likely obesity is the main causal factor.
"Children and adolescents with morbid obesity and knee pain show significant lesions of the cartilage, abnormal features within the menisci and effusions," the authors concluded. "These patients are very likely to complain about loss of quality of life. ... Morbidly obese children have significant pain, due to the higher body weight, whereby higher forces are having negative effects on children's joints, so that they are not able to do physical activity regularly, and increase their weight further. It has been confirmed that many morbidly obese patients have severely lesions of the cartilage."
The researchers recommend further studies to ascertain whether obesity really is the cause of the knee lesions.
















