
There is a plethora of reports which eloquently speak about pioneering explorations into neurovascular MRI at 7-tesla with the results feeding into a broad spectrum of clinical research and neuroscience applications. This includes more than 150 abstracts presented during the International Society of Magnetic Resonance in Medicine (ISMRM) annual meeting recently held in Montreal.
Now one exciting development which is in the spotlight of MR research is that cutting-edge MR centers in Europe and North America are pushing the envelope by investigating the feasibility of 7-tesla MRI for regions outside of the brain including cardiac imaging. These efforts are fueled by the unmet clinical needs and unsolved technical problems of today's clinical cardiac MRI, which has evolved very rapidly during the past decade.
Increasing field strength in MRI helps to gain signal-to-noise ratio, contrast-to-noise ratio, and faster imaging speed, all currencies of image quality. Unfortunately, the potential of ultrahigh-field cardiac MR (CMR) applications is as yet untapped, and the advantages are sometimes offset by a number of practical and technical obstacles specific for ultrahigh-field MR.
This is not as much of a surprise as it appears to be at first glance since clinical users of 3-tesla MR systems already know that high-field CMR imaging presents a number of specific challenges, which earned (ultra)high-field CMR the moniker of advanced applications. The pace of discovery and progress, however, is encouraging, and there is hope.
For example the requirements of CMR at 7-tesla inspired recent advances in radiofrequency (RF) coil technology, including many-element transmit/receive coils equipped with eight or more transmit channels. Recognition of the benefits of these structures may result in an eventual migration to 3 tesla, where the RF inhomogeneity effects for CMR, though somewhat reduced, remain significant. Cardiac MRI studies at 7-tesla have been performed using these new versions of RF coils and groundbreaking acoustic triggering techniques.
Unlike ECG, the MR stethoscope is a practical solution for CMR at 7 tesla since it is immune to interference with strong magnetic fields. Consequently, it is of pivotal help to eliminate the problem of mis-synchronization of CMR acquisition with cardiac motion, an issue frequently encountered when using conventional ECG for cardiac gating.
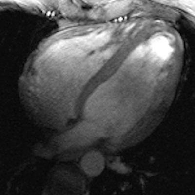
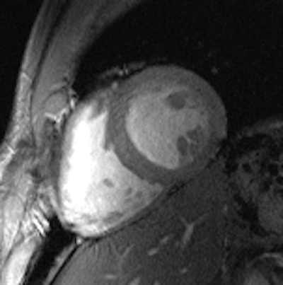
All these efforts culminated in images of the beating heart with a spatial resolution that is by a factor of five superior to that routinely available at 1.5 tesla, and which might come close to turning a 10-megapixel digital camera into a 50-megapixel digital camera. These improvements offer detailed insights into cardiac anatomy and allow accurate delineation of myocardial borders, a feature that is essential for cardiac chamber quantification.


Cine images (left: four-chamber view, middle: short-axis view, right: two-chamber view) of the beating heart acquired with a novel 16-channel transmit/receive radiofrequency coil array at 7.0 tesla with an in-plane resolution of 1 x 1 mm2 and a slice thickness of 4 mm. Images courtesy of Dr. Thoralf Niendorf.The novel technology tailored for cardiac MRI together with the quality of the anatomical and functional images have created excitement among the international imaging community during the ISMRM meeting, which ran a special session on ultrahigh-field CMR. The first clinical results and experiences are very much heartening and are the driving force for broader clinical studies.
The field of CMR at 7 tesla may still be evolving, but it is also maturing. But let me take all the enthusiasm and hype aside for a second to point out the potential clinical value of CMR at 7 tesla needs to continue to be very carefully validated against routine CMR at 1.5 tesla. For example, first contrast agent passage perfusion imaging and late contrast enhancement studies have not been reported for 7 tesla yet.
Demonstrable progress in ultrahigh-field CMR is providing encouragement for the imaging community to throw further weight behind the solution of the remaining issues with the ultimate goal to advance the capabilities of CMR. In short, today's ultrahigh-field CMR developments and applications remain intriguing and are in a creative state of flux; a diagnostic imaging story worth following.
For more information on this area, you may want to attend the 2nd Annual Scientific Symposium on Ultrahigh Field (UHF) Magnetic Resonance: Clinical Needs, Research Promises, and Technical Solutions, which will be held on 24 June at the Max-Delbrueck-Center for Molecular Medicine in Berlin. The meeting has had official endorsement from the International Society of Magnetic Resonance in Medicine. For free registration, please send an email to [email protected].
Dr. Thoralf Niendorf is a professor for experimental ultrahigh-field magnetic resonance at Charité - University Medicine Berlin and the director of the Berlin Ultrahigh Field Facility (B.U.F.F.) at the Max-Delbrueck-Center for Molecular Medicine.
The comments and observations expressed herein do not necessarily reflect the opinions of AuntMinnieEurope.com, nor should they be construed as an endorsement or admonishment of any particular vendor, analyst, industry consultant, or consulting group.
References
- Frauenrath T, Hezel F, Renz W, de Geyer TdO, Dieringer M, Knobelsdorff-Brenkenhoff FV, et al. Acoustic cardiac triggering: A practical solution for synchronization and gating of cardiovascular magnetic resonance at 7 Tesla. J Cardiovasc Magn Reson. 2010;12(1):67.
- von Knobelsdorff-Brenkenhoff F, Frauenrath T, Prothmann M, Dieringer MA, Hezel F, Renz W, et al. Cardiac chamber quantification using magnetic resonance imaging at 7 Tesla--a pilot study. Eur Radiol. 2010;20(12):2844-2852.
- Niendorf T, Sodickson DK, Krombach GA, Schulz-Menger J. Toward cardiovascular MRI at 7 T: Clinical needs, technical solutions and research promises. Eur Radiol. 2010;20(12):2806-2816.
- Dieringer MA, Renz W, Lindel T, Seifert F, Frauenrath T, von Knobelsdorff-Brenkenhoff F, et al. Design and application of a four-channel transmit/receive surface coil for functional cardiac imaging at 7T. J Magn Reson Imaging. 2011;33(3):736-741.















